Skip Menu
Continue
Dr. Valenti and Dr. D'Angelica donated to Guardian Revival!
  • 1600 Harrison Avenue,
  • Suite 106,
  • Mamaroneck, NY 10543
1600hada@gmail.com
  • Home
  • About Us
    • Our Office
    • Office Tour
    • New Patients
    • Smile Gallery
    • Dental Videos
    • Reviews
  • Our Doctors
    • Darrell E. Valenti, DDS
    • Valarie D’Angelica, DDS
    • Blair Love, DDS
  • Services
      • BEMER Jaw Therapy
      • Cosmetic Dentistry
      • Crowns & Caps
      • Dental Bridges
      • Dental Cleanings
      • Dental Fillings
      • Dentures
      • Digital Radiography
      • Implant Dentistry
      • Laser Dentistry
      • Oral Exams
      • Periodontal Treatment
      • Preventive Program
      • Root Canals
      • Sleep Apnea and Snoring Treatment
      • Teeth Whitening
      • TMJ Disorders
      • Veneers
    • View All
  • Dental Health
  • Contact
    • Contact Us
    • Request Appointment

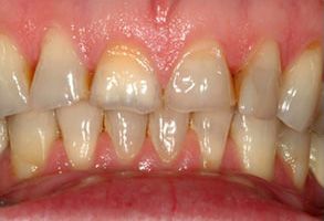
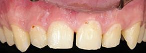
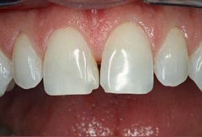
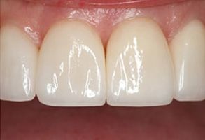
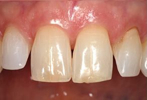
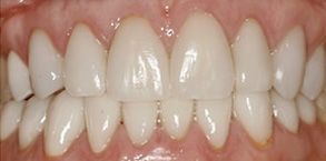
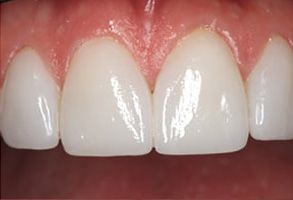
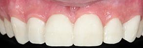
Smile Gallery

Additional Information

Our Location

1600 Harrison Avenue
Suite 106
Mamaroneck, NY 10543
New Patients: (914) 573-5492
Dr. D'Angelica: (914) 835-3232
1600hada@gmail.com

Follow Us